Ortodontia (Alinhadores)
A ortodontia melhora o alinhamento dos dentes e a saúde da mordida. Os alinhadores oferecem conforto, discrição e praticidade no dia a dia. O tratamento facilita a higiene e previne problemas futuros. O resultado é mais funcionalidade, estética e confiança ao sorrir.
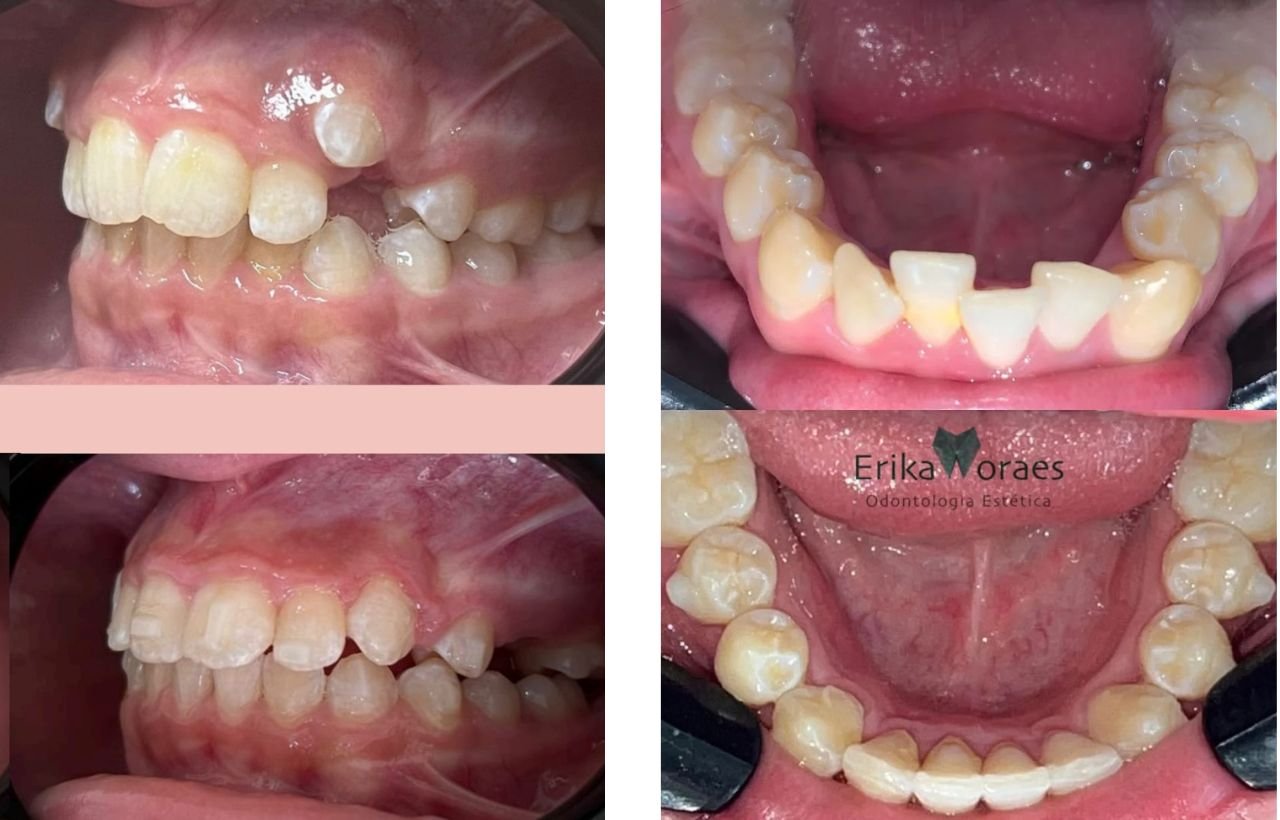
Imagem ilustrativa de procedimento realizado. Os resultados podem variar conforme as características individuais de cada paciente.
Como é realizado?
Através de um escaneamento 3D, planeja-se toda a movimentação dentária. O paciente utiliza uma sequência de placas personalizadas e trocas periódicas até atingir o alinhamento ideal.
Dúvidas Frequentes
É mais rápido que o aparelho fixo?
Em muitos casos sim, devido ao planejamento digital preciso, mas o tempo total depende da complexidade de cada caso.
Posso comer qualquer coisa?
Sim. Por serem removíveis, você os retira para comer e escovar os dentes, mantendo a higiene e a dieta sem restrições.
Quantas horas por dia devo usar?
Para o resultado esperado, é fundamental utilizar os alinhadores entre 20 a 22 horas por dia.
Dê o primeiro passo para sua saúde bucal
Agende conosco, fazemos uma análise sem compromisso!
